伤寒沙门菌(Salmonella enterica serovar Typhi, S. Typhi)是一种革兰氏阴性、杆状、有鞭毛的细菌,属于肠道沙门菌D群,人类是其感染的唯一宿主[1]。S. Typhi通常通过摄入污染的食物或水而感染机体[2],细菌进入机体后在胃中存活,侵入小肠的黏膜下层,而后被免疫细胞吞噬,在细胞中存活与复制,通过淋巴系统和血液传播,从而引起持续性感染。在卫生条件差的低收入地区,尤其是发展中国家,伤寒仍然是严重的公共卫生问题[3]。
分泌系统是细菌将蛋白质和毒素输送到环境或直接进入宿主细胞的有效分子转运工具,革兰氏阴性菌通常通过Ⅲ型分泌系统(type 3 secretion system, T3SS)将毒力因子注射到真核细胞而引起感染[4]。沙门菌致病岛1(Salmonella pathogenicity island 1,SPI-1)和沙门菌致病岛2(Salmonella pathogenicity island 2,SPI-2)分别编码2种类型的T3SS:T3SS-1和T3SS-2。T3SS是一个高度保守的蛋白复合体,主要由基座复合体、针状结构和针尖复合体组成[5],其分泌的效应蛋白在沙门菌感染的各个阶段发挥了重要作用。
SopE是T3SS-1分泌的重要毒力因子。sopE基因位于SP-1外[6],其编码的SopE是鸟嘌呤核苷酸交换因子(guanine nucleotide exchange factor,GEF),通过以下方式参与到沙门菌感染人体的过程中。①SopE通过T3SS-1进入非吞噬细胞,激活Rac1和Cdc42,从而导致F-肌动蛋白聚合,诱导膜褶皱,引导细菌侵入非吞噬细胞[7-8]。②沙门菌被宿主细胞吞噬后,SopE通过募集和激活GTPase Rab5来促进含沙门菌的液泡(Salmonella-containing vacuole,SCV) 和早期内体之间的融合,从而影响细菌在宿主细胞内的存活[9]。在鼠伤寒沙门菌(Salmonella enterica serovar Typhimurium,S. Typhimurium)侵入宿主细胞后,SopE持续性分泌并短暂定位于早期SCV,影响早期SCV的稳定性,从而有利于细菌在巨噬细胞内的生存与增殖[10]。③S. Typhimurium通过T3SS-1效应蛋白SopE、SopE2和SopB刺激Rho GTP酶来激活MAP激酶和NF-κB信号通路,未涉及先天免疫系统受体,从而引发肠道炎症[11]。SopE还通过激活Cdc42和Rac1诱导caspase-1活化,引发肠黏膜炎症[12]。④S. Typhimurium的SopE和SopE2通过刺激Rho GTP酶和调节肌动蛋白细胞骨架来破坏紧密连接结构,从而破坏肠道屏障,引发腹泻[13]。
Ⅵ型分泌系统(type 6 secretion system, T6SS)是一个类似于T4噬菌体的细菌表面跨膜结构,由13种核心结构蛋白组成[14]。T6SS结构与T3SS相似,包括:基座复合物、跨膜复合物、由溶血素共调节蛋白(Hcp)内管与TssBC鞘组成的管状结构、管状结构顶端的VgrG-PAAR复合物等。T6SS被激活时,Hcp蛋白与TssB、TssC鞘被招募到基座复合物形成管状结构,在ATP酶ClpV提供的能量下TssBC鞘收缩,将携带效应蛋白的VgrG-PAAR复合体推向靶细胞等,完成效应蛋白的分泌[15]。
S. Typhi T6SS由沙门菌致病岛6(Salmonella pathogenicity island 6,SPI-6)编码完整的基因簇,其中sciG基因编码ClpV(ATPase AAA+家族成员)的同源物,sciK编码Hcp(T6SS结构蛋白与分泌蛋白)的同源物,但有研究认为S. Typhi SPI-6中的sciI为假基因,因sciI编码的T6SS结构成分SciI(VipB同源物)为一个假定蛋白,导致T6SS无分泌功能[16]。
前期研究发现,S. Typhi可以编码功能性的T6SS,T6SS基因缺陷可使T6SS分泌功能缺失[17]。近年来有研究发现,T6SS功能分子sciG缺陷使细菌在巨噬细胞中的生存能力下降,说明S. Typhi的T6SS有利于细菌在巨噬细胞内的生存与增殖[18]。本研究组通过蛋白组学分析技术进一步探究了S. Typhi在巨噬细胞内利用T6SS发挥毒力作用的机制,发现ΔsciG菌株的分泌蛋白中T3SS-1效应蛋白SopE的水平明显下降。基于蛋白组学分析结果,以及沙门菌能够利用SopE增加SCV的稳定性从而有利于细菌在巨噬细胞中存活这一特性,本文推测:S. Typhi的T6SS可能与T3SS-1有交叉作用,并通过T6SS促进T3SS-1的效应蛋白SopE表达或分泌。本研究通过初步探索S. Typhi T6SS与T3SS-1效应蛋白SopE的关系,为研究S. Typhi引起的严重全身系统性感染的致病机制提供新思路。
1 材料与方法 1.1 材料 1.1.1 菌株、质粒和细胞株人髓系白血病单核细胞THP-1购自中国科学院细胞库;S. Typhi野生株GIFU10007(WT) 为日本岐阜大学医学院微生物学教研室馈赠;pGMB151、Pet28a(+)、pHRP309载体,以及E.coli λ372与DH5α由本实验室保存;S. Typhi携带sopE∷3×Flag的WT-pBAD33、ΔsciG-pBAD33与C-ΔsciG菌株,以及sciG-Pet28a-BL21重组蛋白表达菌、pHRP309-sopE由本研究制备。
1.1.2 主要试剂RPMI-1640、胎牛血清(fetal calf serum,FBS)、胰酶均购自美国Gibco公司;佛波醇乙酯(phorbol-12-myristate-13-acetate,PMA)、Trizol试剂购自美国Sigma公司;逆转录试剂盒、SYBR荧光定量试剂盒、快速DNA消化试剂盒购自南京诺唯赞生物科技有限公司;电泳迁移率变动分析(electrophoretic mobility shift assay,EMSA)结合缓冲液、上样缓冲液以及β-半乳糖苷酶活性检测试剂盒购自上海碧云天生物技术有限公司。Anti-FLAG tag rabbit polyclonal antibody购自上海生工生物工程有限公司;Dnak(E.coli)mAb购自美国Enzo公司。
1.1.3 主要仪器全自动凝胶成像系统购自上海勤翔科学仪器有限仪器公司;荧光定量PCR仪购自美国Bio-Rad公司;二氧化碳细胞培养箱购自美国Thermo公司;超净工作台为上海博讯公司产品;pH计购自德国Sartorius公司;超灵敏化学发光凝胶成像系统购自美国GE公司;台式冷冻离心机购自湖南湘仪实验室仪器开发有限公司。
1.1.4 引物基因特异性引物委托苏州泓讯生物科技有限公司合成,具体序列如表 1所示。
| 引物名称 | 引物序列(5′-3′) | 用途 |
| P-sopE-A | AGTGGATCCCTATCGGCAGTTTACAGCA | 菌株构建 |
| P-sopE-B | TCACTTGTCATCGTCATCCTTGTAGTCGATGTCATGATCTTTATAATCACCGTCATGGTCTTTGTAGTCGGGAGTGTATTGTATATATT | 菌株构建 |
| P-sopE-C | AGGATGACGATGACAAGTGAACACAGAAAAACCAAAAAATATGCGGAGCC | 菌株构建 |
| P-sopE-D | AGCGGATCCACGGAAAATATATCGAGCACA | 菌株构建 |
| RT-sopE-F | CAGCGAAAAATGCAGGTCTG | qRT-PCR |
| RT-sopE-R | GGATGCCTGCTGATGTTGAT | qRT-PCR |
| RT-16S-F | AAACGGTGGCTAATACCGCA | qRT-PCR |
| RT-16S-R | GAGCCGTTACCTCACCAACA | qRT-PCR |
| sopE-F(Sal I) | ATAGTCGACGCTGGTACAATATCGCCAC | LacZ/EMSA |
| sopE-R(EcoR I) | GCCGAATTCCTGCGAGAATACTTTTTGCT | LacZ/EMSA |
| 16S DNA-F | ATCGTCGACACATCCCAGGTTCGTCACAG | LacZ/EMSA |
| 16S DNA-R | ATCGAATTCGGAAACTCACAGCCGTTCAG | LacZ/EMSA |
| 注:下划线表示酶切位点。 | ||
本研究采用自杀质粒pGMB151介导的同源重组法构建3×Flag融合菌株,以S. Typhi野生株基因组DNA为模板,特异性引物PCR扩增sopE的上、下游同源片段F1、F2和总同源片段F。反应体系如表 2所示,PCR扩增参数为94 ℃预变性5 min,94 ℃变性30 s、55 ℃退火30 s、72 ℃延伸30 s,共30个循环,最后72 ℃延伸10 min。各取3 μL PCR产物进行琼脂糖凝胶电泳,鉴定扩增情况。F片段与pGMB151质粒酶切后酶连,热击到E.coli λ372感受态细胞中,筛选阳性质粒送测序,序列比对完全正确后再电击到WT与ΔsciG感受态细胞中,筛选同时含有短片段与长片段的单克隆菌落,使用同源重组的方法在5%蔗糖板上筛选直至只有长片段,稳定传3代后,再在普通LB平板上稳定传3代,经PCR鉴定只有长片段,即携带sopE∷3×Flag的WT与ΔsciG菌株构建成功。将sciG-pBAD33质粒电击到携带sopE∷3×Flag的ΔsciG感受态细胞中,制备相应的回补株。将pBAD33质粒电击到携带sopE∷3×Flag的WT与ΔsciG感受态细胞中,制备相应的对照株。经PCR鉴定确认,携带sopE∷3×Flag的WT-pBAD33、ΔsciG-pBAD33与C-ΔsciG菌株构建成功。
| 成分 | 体积(μL) |
| ddH2O | 7.2 |
| 2×Phanta max buffer | 10 |
| 引物P-sopE-A/B或P-sopE-C/D | 0.8/0.8 |
| dNTP Mix | 0.4 |
| Phanta Super-Fidelity DNA Polymerase | 0.4 |
| 模板DNA | 0.4 |
| 总体积 | 20 |
使用含10% FBS的RPMI 1640培养液,将THP-1细胞置于37 ℃、体积分数5% CO2的培养箱中培养。细胞培养板中每孔接种5×105个细胞,加入150 ng/mL PMA诱导THP-1细胞分化48 h,诱导率为70%。携带sopE∷3×Flag的WT-pBAD33、ΔsciG-pBAD33接种于2 mL LB液体培养基中,37 ℃、250 r/min培养过夜;次日按1∶100转接到20 mL LB液体培养基中,培养细菌至对数期(OD600nm=0.4)。将细菌离心分离后弃上清液,用RPMI-1640培养液悬浮菌体,将细菌浓度调至OD600nm约为0.4。实验前1 h给细胞更换新鲜的RPMI-1640培养液。将上述细菌按MOI=30∶1加入THP-1细胞培养板中培养1 h。每孔加入100 μg/mL庆大霉素后继续培养1 h杀死胞外菌。弃掉一半培养液,加入新鲜的RPMI 1640培养液,以此时间点为起始时间点,继续培养12 h,弃掉所有培养液,加入1 mL Trizol或RIPA裂解液,待用。实验进行3次生物学重复。
1.2.3 巨噬细胞内环境下的S. Typhi模拟培养将携带sopE∷3×Flag的WT-pBAD33、ΔsciG-pBAD33和C-ΔsciG接种于2 mL LB液体培养基中,37 ℃、250 r/min培养过夜;次日将细菌置于25 ℃,以4 000 r/min离心10 min,用新鲜LPM洗2次后按1∶50转接到20 mL新鲜LPM液体培养基中,加入终质量分数为0.2%的L-阿拉伯糖,在微需氧环境(微需氧袋培养:O2体积分数为6%~12%,CO2体积分数为5%~8%)中培养12 h后,将细菌置于4 ℃,以4 000 r/min离心10 min,弃掉LPM培养液,用1 mLTrizol或用1×磷酸缓冲盐溶液(phosphate buffered saline, PBS)洗涤2次后重悬,待用。实验进行3次生物学重复。
1.2.4 RNA提取和检测充分混匀上述1 mL Trizol重悬的样本,用Trizol法提取总RNA,取1 μg总RNA,消化基因组DNA后用逆转录试剂盒将其逆转录为cDNA。以16S rRNA为内参基因,使用sopE特异性引物进行qRT-PCR,采用相对定量法分析目的基因mRNA表达水平。每组设平行样,实验进行3次生物学重复。
1.2.5 蛋白提取和检测在上述蛋白样本中加入5×蛋白loading buffer并充分混匀,90 ℃煮10 min,冰上放置5 min,离心(13 500 r/min,10 min,4 ℃),取上清液为点样样本。配制体积分数为10%的聚丙烯酰胺凝胶,上样后进行电泳。电泳结束后转膜,再用体积分数为5%的脱脂奶粉室温振荡封闭1 h,用Anti-FLAG tag rabbit polyclonal antibody、Dnak(E.coli)mAb在4 ℃下孵育过夜,次日将PVDF膜用1×TBST在摇床上振荡洗涤3次,然后于室温下用羊抗兔IgG-HRP和羊抗鼠IgG-HRP分别振荡孵育1 h,用1×TBST洗涤3次。最后用增强型化学发光试剂(enhanced chemiluminescence,ECL)在超灵敏化学发光凝胶成像系统上进行曝光及拍照。
1.2.6 β-半乳糖苷酶活性检测将携带有LacZ重组质粒的WT-pBAD33、ΔsciG-pBAD33和C-ΔsciG接种于2 mL LB液体培养基中,37 ℃、250 r/min培养过夜;次日以4 000 r/min、25 ℃离心10 min,用新鲜LPM洗2次后按1∶50转接到20 mL新鲜LPM液体培养基中,加入终质量分数为0.2%的L-阿拉伯糖,在微需氧环境(微需氧袋培养:O2体积分数为6%~12%,CO2体积分数为5%~8%)中培养12 h后离心弃上清液,用预冷的PBS洗涤2次后重悬。取一部分重悬液加入甲醛溶液后,测定其OD600nm值,剩余进行超声仪破菌后离心,将上清液分别加入到β-半乳糖苷酶活性检测酶联板孔中,每组设有3个平行样,然后加入30 μL检测液混匀,37 ℃静置至溶液完全变黄,记录反应时间,加入反应终止液混匀,利用酶标仪检测混合液的OD415nm值和OD595nm值。实验进行3次生物学重复。采用Miller Units的数值来表示β-半乳糖苷酶活性(Ae),计算公式如下:Ae =106×Rd×(OD415nm-OD595nm)× 1.75/(V×T×OD600nm),式中Rd表示稀释倍数,V表示体积(μL),T表示作用时间(min)。
1.2.7 SciG蛋白的表达和纯化接种sciG-pET28a-BL21重组蛋白表达菌至液体LB培养基中培养至对数期(OD600nm约为0.6),加入0.2 mmol/L异丙基硫代-β-D-半乳糖苷(isopropylthio-β-D-galactoside, IPTG),30 ℃,180 r/min诱导6 h。收集菌体后超声波破碎,离心收集上清液,用0.45 μm的滤嘴过滤掉杂质后用Ni柱纯化,然后于透析袋中冰上透析4 h后,用PEG2000吸去透析袋中部分水分以浓缩蛋白,检测浓度后使用SDS-PAGE分析其纯度,置于-80 ℃保存。
1.2.8 EMSA检测Sci蛋白与sopE基因相互作用以S. Typhi野生株基因组DNA为模板,PCR特异性扩增sciG基因起始密码子上游约500 bp的启动子区域序列并纯化,16S DNA作为阴性对照。已纯化的His-SciG蛋白溶液加入含20 mmol/L新鲜乙酰磷酸盐的结合缓冲液,室温孵育10 min使SciG磷酸化,结合体系配制完成后,分别加入100 ng各基因启动子区DNA片段,于30 ℃温育30 min后使用体积分数为6%的非变形聚丙烯酰胺凝胶进行电泳,溴化乙啶染色后于凝胶成像仪下显影并分析结果。
1.3 统计学分析利用GraphPad Prism 8.0统计软件分析数据,多组间均数比较采用单因素方差分析,两组间均数比较采用t检验。P < 0.05表示差异有统计学意义。
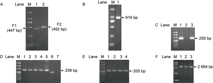
2 结果分析 2.1 菌株构建为了检测SopE蛋白的表达量,本文构建了携带sopE∷3×Flag的WT-pBAD33、ΔsciG-pBAD33与C-ΔsciG菌株。首先,由PCR扩增sopE基因上、下游片段F1、F2, 电泳结果如图 1A所示,以F1、F2片段为模板,PCR扩增,将F1、F2片段连接成F片段,结果如图 1B所示。F片段与pGMB151质粒酶切后酶连,热击到E.coli λ372感受态细胞中,PCR扩增筛选阳性重组质粒,电泳结果如图 1C所示。阳性重组质粒送测序,序列比对完全正确后电击到WT与ΔsciG感受态细胞中,筛选同时含有短片段与长片段的单克隆,在5%蔗糖板上稳定传3代后,再在普通LB平板上稳定传3代,经PCR鉴定发现只有长片段,即携带sopE∷3×Flag的WT与ΔsciG菌株构建成功,电泳结果如图 1D所示。将pBAD33空载体电击到携带sopE∷3×Flag的WT与ΔsciG菌株中,经PCR鉴定后筛选阳性菌株,电泳结果如图 1E所示。将sciG-pBAD33载体电击到携带sopE∷3×Flag的ΔsciG菌株中,由PCR鉴定筛选阳性菌株,电泳结果如图 1F所示。
|
| A:泳道1、2分别为F1片段、F2片段;B:泳道1为F片段;C:泳道1、3为阳性重组质粒;D:泳道1、2为WT,泳道3、4为ΔsciG,泳道5为阳性对照,泳道6为以野生株DNA为模板扩增的阴性对照;E:泳道1、2为WT,泳道3、4为ΔsciG;F:泳道1、3为单克隆菌落PCR产物。 图 1 菌株构建结果 Fig. 1 Results of strain construction |
为了研究在巨噬细胞中T6SS对T3SS-1效应蛋白SopE表达的影响,本研究使用WT-pBAD33、ΔsciG-pBAD33感染巨噬细胞,提取RNA进行qRT-PCR检测sopE mRNA水平,提取蛋白使用WB检测SopE蛋白表达水平,结果显示:ΔsciG-pBAD33的SopE表达水平在巨噬细胞中低于WT-pBAD33(见图 2),说明在巨噬细胞中,T6SS的缺失抑制了SopE的表达。
|
| **: P < 0.01。 图 2 qRT-PCR与Western blot检测巨噬细胞中SopE的表达水平 Fig. 2 The expression level of SopE in macrophages detected by qRT-PCR and Western blot |
在模拟巨噬细胞内环境下培养WT-pBAD33、ΔsciG-pBAD33和C-ΔsciG菌株,并进行qRT-PCR、WB与β-半乳糖苷酶活性检测实验,结果显示:在模拟巨噬细胞内环境中,ΔsciG-pBAD33的SopE表达水平较于WT-pBAD33显著降低,C-ΔsciG的SopE表达水平较于ΔsciG-pBAD33部分恢复(见图 3A、3B),ΔsciG-pBAD33的sopE基因启动子的mRNA表达水平较于WT-pBAD33与C-ΔsciG显著下降(P < 0.01)(见图 3C)。说明在模拟巨噬细胞内环境中,T6SS的缺失使SopE的表达受到抑制,与在巨噬细胞中的结果一致。
|
| ****: P < 0.0001, ***: P < 0.001。 图 3 qRT-PCR、Western blot与lacZ融合实验检测模拟巨噬细胞内环境中SopE的表达水平 Fig. 3 The expression level of SopE in simulated macrophages environment detected by qRT-PCR, WB and lacZ fusion experiment |
为了获得SciG蛋白,使用sciG-pET28a-BL21重组蛋白表达菌株表达蛋白。用0.2 mmol/L IPTG诱导后,His-SciG蛋白的表达量较未诱导明显增加,并且存在于上清液中,说明His-SciG是可溶性蛋白;经Ni柱纯化后,只有单一的目的条带,说明去除了其他的杂蛋白;进一步进行浓缩获得纯化的His-SciG蛋白(见图 4)。
|
| M: 蛋白分子量标准参照物。 图 4 SDS-PAGE分析SopE蛋白的表达与纯化 Fig. 4 SopE protein expression and purification using SDS-PAGE analysis |
本研究利用EMSA检测SciG蛋白与sopE基因的相互作用,结果显示:SciG蛋白与sopE基因的启动子区域未发生结合(见图 5),说明SciG蛋白不能通过直接与sopE基因的启动子区域结合来调控sopE基因的表达,而是间接调控sopE基因的表达。
|
| 16SDNA:阴性对照,1~8泳道分别加入浓度依次递增的蛋白。 图 5 EMSA检测sopE基因与SciG蛋白的相互作用 Fig. 5 Interaction between sopE gene and protein SciG detected by EMSA |
S. Typhi能在人体巨噬细胞SCV中存活及增殖,可引起人类严重的全身系统性感染。T6SS是一种多组分蛋白输出装置,其通过将效应蛋白直接注入邻近细菌或真核细胞中来发挥功能,对于细菌提高在巨噬细胞内的存活能力具有重要意义。S. Typhi的T6SS是新发现的一种分泌系统,具有完整的基因簇。sciG基因是S. Typhi T6SS的功能基因,编码ClpV的同源物,ClpV ATPase属于ClpB家族中的AAA+超家族,也属于Clp/Hsp100家族,是细胞质中的分子伴侣蛋白,为T6SS的组装与激活提供能量。
在S. Typhi感染人体并致病的过程中,巨噬细胞是主要的宿主细胞。在巨噬细胞中,分泌系统分泌的效应蛋白可以帮助S. Typhi逃逸宿主的免疫反应。本研究首先用S. Typhi WT-pBAD33与ΔsciG-pBAD33感染巨噬细胞THP-1,qRT-PCR与WB的检测结果显示,在巨噬细胞中,T6SS能够促进SopE的表达。这说明S. Typhi的T6SS可能通过调节SopE的表达,进而影响T3SS-1的功能。
环境因素对S. Typhi T6SS的表达具有一定的影响,在LPM培养基、微需氧条件下,S. Typhi T6SS核心蛋白SciK表达水平高[18],因此,本研究在体外T6SS表达的条件(LPM培养基、微需氧)下培养S. Typhi的WT-pBAD33、ΔsciG-pBAD33和C-ΔsciG菌株,通过qRT-PCR、WB与β-半乳糖苷酶活性检测实验检测SopE的表达水平,结果显示,在T6SS表达的条件下,T6SS的缺陷使SopE的表达水平降低,与感染巨噬细胞的结果一致,并且在C-ΔsciG菌株中部分恢复。这说明在T6SS表达的条件下,T6SS促进了T3SS-1效应蛋白SopE的表达。
为了研究S. Typhi的T6SS是否直接调控sopE基因的转录,本研究采用Ni柱纯化Ⅵ型分泌系统功能蛋白SciG,通过EMSA对SciG与sopE基因的相互作用进行观察,结果表明SciG不能直接与sopE基因启动子区域结合,这说明SciG间接调控了sopE基因启动子的转录。T3SS-1的转录受多种转录调节因子的调控,例如OmpR、Mlc、CsrA、SirA、HilD、HilC、HilA、InvF、RtsA、BarA和GlnA等。因此,S. Typhi的T6SS是否通过调控上述T3SS-1转录调节因子的表达来间接调控SopE的表达有待进一步研究。
SopE是T3SS-1分泌的重要效应蛋白,本课题组前期研究证明,SopE可能通过影响自噬而调节晚期SCV的稳定性[19]。本研究初步探索了T6SS对SopE的表达调节,并未研究T6SS对SopE分泌的影响。有研究发现,SteA、SpvD、GogB等可由T3SS-1和T3SS-2共同分泌[20],PagK同源蛋白是通过细菌外膜囊泡(OMV)分泌的[21]。因此,在后续研究中,将探究S. Typhi的T6SS是否对SopE蛋白的分泌产生影响以及SopE蛋白是否可以通过T6SS分泌。
本研究发现在T6SS表达的条件下,T6SS对T3SS-1效应蛋白SopE的表达产生影响,本文结论为进一步研究T6SS的功能提供参考,并为S. Typhi感染的临床用药与疫苗研发提供了一定的指导。
| [1] |
Addams J, Lainhart W. The brief case: Salmonella enterica Serovar Typhi in a Central American Refugee[J]. J Clin Microbiol, 2021, 59(5): e01359-20.
[DOI]
|
| [2] |
Amicizia D, Arata L, Zangrillo F, Panatto D, Gasparini R. Overview of the impact of Typhoid and Paratyphoid fever. Utility of Ty21a vaccine (Vivotif ®)[J]. J Prev Med Hyg, 2017, 58(1): E1-E8.
|
| [3] |
Ashurst J V, Truong J, Woodbury B. Salmonella Typhi[M]. Treasure Island, FL: StatPearls Publishing, 2022.
|
| [4] |
Bulgin R, Raymond B, Garnett JA, Frankel G, Crepin VF, Berger CN, Arbeloa A. Bacterial guanine nucleotide exchange factors SopE-like and WxxxE effectors[J]. Infect Immun, 2010, 78(4): 1417-1425.
[DOI]
|
| [5] |
Diepold A, Armitage JP. Type Ⅲ secretion systems: the bacterial flagellum and the injectisome[J]. Philos Trans R Soc Lond B Biol Sci, 2015, 370(1679): 20150020.
[DOI]
|
| [6] |
Hardt WD, Urlaub H, Galán JE. A substrate of the centisome 63 type Ⅲ protein secretion system of Salmonella typhimurium is encoded by a cryptic bacteriophage[J]. Proc Natl Acad Sci U S A, 1998, 95(5): 2574-2579.
[DOI]
|
| [7] |
Schlumberger MC, Hardt WD. Triggered phagocytosis by Salmonella: bacterial molecular mimicry of RhoGTPase activation/deactivation[J]. Curr Top Microbiol Immunol, 2005, 291: 29-42.
|
| [8] |
Lim JS, Shin M, Kim HJ, Kim KS, Choy HE, Cho KA. Caveolin-1 mediates Salmonella invasion via the regulation of SopE-dependent Rac1 activation and actin reorganization[J]. J Infect Dis, 2014, 210(5): 793-802.
[DOI]
|
| [9] |
Mukherjee K, Parashuraman S, Raje M, Mukhopadhyay A. SopE acts as an Rab5-specific nucleotide exchange factor and recruits non-prenylated Rab5 on Salmonella-containing phagosomes to promote fusion with early endosomes[J]. J Biol Chem, 2001, 276(26): 23607-15.
[DOI]
|
| [10] |
Vonaesch P, Sellin ME, Cardini S, Singh V, Barthel M, Hardt WD. The Salmonella Typhimurium effector protein SopE transiently localizes to the early SCV and contributes to intracellular replication[J]. Cell Microbiol, 2014, 16(12): 1723-1735.
[DOI]
|
| [11] |
Bruno VM, Hannemann S, Lara-Tejero M, Flavell RA, Kleinstein SH, Galán JE. Salmonella Typhimurium type Ⅲ secretion effectors stimulate innate immune responses in cultured epithelial cells[J]. PLoS Pathog, 2009, 5(8): e1000538.
[DOI]
|
| [12] |
Müller AJ, Hoffmann C, Galle M, Van Den Broeke A, Heikenwalder M, Falter L, Misselwitz B, Kremer M, Beyaert R, Hardt WD. The S. Typhimurium effector SopE induces caspase-1 activation in stromal cells to initiate gut inflammation[J]. Cell Host Microbe, 2009, 6(2): 125-136.
[DOI]
|
| [13] |
Boyle EC, Brown NF, Finlay BB. Salmonella enterica serovar Typhimurium effectors SopB, SopE, SopE2 and SipA disrupt tight junction structure and function[J]. Cell Microbiol, 2006, 8(12): 1946-1957.
[DOI]
|
| [14] |
Silverman JM, Brunet YR, Cascales E, Mougous JD. Structure and regulation of the type Ⅵ secretion system[J]. Annu Rev Microbiol, 2012, 66: 453-472.
[DOI]
|
| [15] |
Park YJ, Lacourse KD, Cambillau C, DiMaio F, Mougous JD, Veesler D. Structure of the type Ⅵ secretion system TssK-TssF-TssG baseplate subcomplex revealed by cryo-electron microscopy[J]. Nat Commun, 2018, 9(1): 5385.
[DOI]
|
| [16] |
Blondel CJ, Jiménez JC, Contreras I, Santiviago CA. Comparative genomic analysis uncovers 3 novel loci encoding type six secretion systems differentially distributed in Salmonella serotypes[J]. BMC Genomics, 2009, 10: 354.
[DOI]
|
| [17] |
Wang M, Luo Z, Du H, Xu S, Ni B, Zhang H, Sheng X, Xu H, Huang X. Molecular characterization of a functional type Ⅵ secretion system in Salmonella enterica serovar Typhi[J]. Curr Microbiol, 2011, 63(1): 22-31.
[DOI]
|
| [18] |
魏丹丹. 伤寒沙门菌Ⅵ型分泌系统的表达及其生物学功能的初步研究[D]. 镇江: 江苏大学, 2020.
|
| [19] |
翁轶玮, 刘秀雯, 石书娟, 李泽宇, 张盈, 黄新祥. 伤寒沙门菌Ⅲ型分泌系统效应蛋白SopE对晚期沙门菌液泡稳定性的影响[J]. 微生物与感染, 2022, 17(5): 297-304. [URI]
|
| [20] |
Jennings E, Thurston TLM, Holden DW. Salmonella SPI-2 type Ⅲ secretion system effectors: molecular mechanisms and physiological consequences[J]. Cell Host Microbe, 2017, 22(2): 217-231.
[DOI]
|
| [21] |
Yoon H, Ansong C, Adkins JN, Heffron F. Discovery of Salmonella virulence factors translocated via outer membrane vesicles to murine macrophages[J]. Infect Immun, 2011, 79(6): 2182-2192.
[DOI]
|
2023, Vol. 18


