2. 复旦大学上海医学院基础医学院教育部/卫健委/医科院医学分子病毒学重点实验室,上海 200032;
3. 上海市重大传染病和生物安全研究院,上海 200032
2. Key Laboratory of Medical Molecular Virology (MOE/NHC/CAMS), School of Basic Medical Sciences, Shanghai Medical College, Fudan University, Shanghai 200032, China;
3. Shanghai Institute of Infectious Disease and Biosecurity, Shanghai 200032, China
严重急性呼吸综合征冠状病毒2(severe acute respiratory syndrome coronavirus 2,SARS-CoV-2)属于冠状病毒科β冠状病毒属的包膜病毒,其基因组约为30 kb。由感染该病毒所致的2019冠状病毒病(coronavirus disease 2019,COVID-19)有很强的传染性和致病性[1]。截至2022年6月30日,SARS-CoV-2已在全球累计造成约5.4亿例感染和超634万人死亡,死亡率约为2%①。SARS-CoV-2感染人体最先从病毒表面的棘突蛋白(Spike,S)与宿主细胞受体血管紧张素转换酶2 (angiotensin converting enzyme 2, ACE2)结合开始,进而病毒得以进入细胞并开始复制[2-3]。其中S蛋白的S1亚基上的受体结合结构域(receptor-binding domain, RBD)主要参与和宿主受体ACE2结合,决定该病毒对宿主的感染性和致病性[3],且S1亚基具有高免疫原性,因而目前抗体的研发大多以S1为靶点,以阻断病毒与宿主细胞的结合为目标[4]。
①数据来源:https://www.who.int/。
SARS-CoV-2的高变异性导致了大量变异株的出现,其中B.1.1.7 (Alpha)、B.1.351 (Beta)、P.1 (Gamma)、B.1.617.2 (Delta)以及B.1.1.529 (Omicron)被定义为高关注变异株(variant of concern,VOCs)[5-7],其中一些VOCs的传播能力和毒力相较于野生株更强,并且部分氨基酸替换还使病毒获得了免疫逃逸的能力[8]。另有需留意的变异株(variant of interest,VOIs),如C.37 (Lambda)等,VOIs的毒力和传播能力虽然相较于VOCs稍弱,但是其免疫逃逸能力可能更强[9]。这些变异株的S蛋白上存在多个氨基酸的替换,其中一些替换对现存的抗体或疫苗有抵抗作用,影响防治效果[10]。
目前针对SARS-CoV-2的抗病毒治疗药物,比如羟氯喹、瑞德西韦等,其治疗效果尚不理想。而作为一种高效抗病毒措施,单克隆抗体在病毒感染的预防和治疗中都具有良好的效用[11],尤其是在和其他药物联合使用时,单克隆抗体可以显著改善患者的预后。目前,治疗性抗体的研发已有几种行之有效的方法,例如使用高通量单细胞测序技术筛选[12]或使用噬菌体展示技术筛选[13]等,其中噬菌体抗体展示在筛选高致病性病原体的治疗性抗体时具有一定的优势[14]。变异株的不断出现使现有以及处于临床实验阶段的疫苗和抗体的保护作用严重下降[15],因而仍旧需要研发一些新抗体来应对不断变异的SARS-CoV-2。前期研究采用噬菌体抗体展示技术获得靶向SARS-CoV-2 RBD的小鼠抗体可变区基因,并通过基因重组技术构建人鼠嵌合抗体,以期得到可以中和多种变异株的中和抗体。本研究表达并纯化了3株人鼠嵌合抗体,检测了抗体对SARS-CoV-2野生株假病毒以及SARS-CoV-2变异株假病毒Alpha、Beta、Gamma、Lambda、Delta和Omicron的中和活性,并研究了变异株中的重要突变点K417N、E484K和N501Y对抗体的中和活性的影响,以期为SARS-CoV-2的抗体治疗提供参考。
1 材料和方法 1.1 实验材料 1.1.1 细胞、质粒和病毒HEK 293T、Vero E6细胞来自美国模式培养物保藏中心(American Type Culture Collection,ATCC),Expi293F细胞来自美国Thermo Fisher Scientific公司,Huh-7细胞来自中国科学院细胞库,ACE2/293T细胞由本实验室保存,Stbl3化学感受态大肠杆菌细胞购自北京擎科生物科技有限公司。
质粒pcDNA3.1-SARS-CoV-2-S (wild type)、pcDNA3.1-SARS-CoV-S、pcDNA3.1-MERS-CoV-S、pcDNA3.1-VSV-G、pcDNA3.1-SARS-CoV-2-S (B.1.1.7)、pcDNA3.1-SARS-CoV-2-S (B.1.351)、pcDNA3.1-SARS-CoV-2-S (P.1)、pcDNA3.1-SARS-CoV-2-S (B.1.617.2)、pcDNA3.1-SARS-CoV-2-S (B.1.1.529)、pcDNA3.1-SARS-CoV-2-S (C.37)、pcDNA3.1-SARS-CoV-2-S (D614G)、pcDNA3.1-SARS-CoV-2-S (K417N/E484K)、pcDNA3.1-SARS-CoV-2-S (K417N/N501Y)、pcDNA3.1-SARS-CoV-2-S(E484K/N501Y)和pcDNA3.1-SARS-CoV-2-S (K417N/E484K/N501Y)、pNL4-3.Luc.R-E-、pAAV-IRES-EGFP-SARS-CoV-2-S由本实验室保存。含有人IgG1重链恒定区(heavy chain constant region, CH)或轻链恒定区(light chain constant region, CL)的pTT-IgG1载体由复旦大学应天雷实验室惠赠[16]。用于表达3株人鼠嵌合抗体(1E9、2D9和6D11)的3组质粒1E9VH-pTT-IgG1和1E9VL-pTT-IgG1、2D9VH-pTT-IgG1和2D9VL-pTT-IgG1以及6D11VH-pTT-IgG1和6D11VL-pTT-IgG1由本实验室保存。SARS-CoV-2 Delta株活病毒由复旦大学生物安全三级实验室保存。
1.1.2 试剂用于抗体表达的SMM 293-TII无血清培养基购自北京义翘神州科技股份有限公司,Protein A抗体纯化预填充柱购于美国Cytiva公司,萤火虫萤光素酶报告基因检测试剂盒和线性聚乙烯亚胺转染试剂(polyethylenimine linear MW40000,PEI 40000)购自翌圣生物科技(上海)股份有限公司,30 kDa超滤离心管购自德国Merck公司。
1.2 实验方法 1.2.1 人鼠嵌合抗体的表达与纯化将Expi293F细胞以1×106/mL的浓度接种于细胞培养瓶中,人鼠嵌合抗体质粒(抗体重链质粒与抗体轻链质粒的质量比值为1∶1.5)与PEI 40000按照1∶3的质量比值混合后滴入细胞悬液内,将细胞置于37 ℃、CO2体积分数为8%的摇床培养箱中,以250 r/min的条件培养5~7 d后收取上清液,经0.45 μm滤膜过滤后备用。将Protein A抗体纯化柱接入AKTA蛋白纯化系统,使用去离子水清洗纯化柱后用磷酸盐缓冲液平衡系统,将过滤后含抗体的上清液接到抗体纯化柱上,使人鼠嵌合抗体与纯化柱结合。使用磷酸盐缓冲液洗去纯化柱中的非抗体杂质后,用柠檬酸洗脱液(0.1 mol/L,pH值为3.0)洗脱抗体,提前在收集管中加入三羟甲基氨基甲烷盐酸盐(Tris hydrochloride,Tris-HCl) (1 mol/L,pH值为8.5)以中和抗体洗脱液。使用30 kDa的超滤离心管将抗体缓冲液置换成磷酸缓冲盐溶液(phosphate buffer saline,PBS),检测抗体浓度后置于-20 ℃保存备用。用十二烷基硫酸钠聚丙烯酰胺凝胶电泳(sodium dodecyl sulfate polyacrylamide gel electrophoresis, SDS-PAGE)对抗体分子量大小和纯度进行验证。
1.2.2 假病毒包装及滴度检测取3×106 HEK 293T细胞接种于细胞培养皿(直径10 cm)中,将7.5 μg pcDNA3.1-SARS-CoV-2-S质粒(或其他病毒包膜蛋白质粒)、7.5 μg pNL4-3.luc.R-E-质粒以及45 μg PEI 40000溶液混匀后转染至HEK 293T细胞,置于37 ℃、CO2体积分数为5%的培养箱中培养8~10 h后更换新鲜培养基,继续培养48~72 h,收取细胞培养上清液,离心后取上清液备用。将ACE2/293T细胞以4×104 cells/孔的密度接种于96孔细胞培养板,假病毒上清液按2倍梯度稀释后取100 μL加入ACE2/293T细胞中感染12 h,更换新鲜培养基,继续培养48 h后,弃上清液后加入细胞裂解液,常温孵育15 min,酶标板中加入30 μL萤光素酶,取出30 μL裂解后的细胞混合液加入萤光素酶中,使用GloMax Navigator发光检测仪检测。将假病毒液稀释至荧光值是其空白对照的1 000~2 000倍备用。
1.2.3 假病毒中和实验提前将ACE2/293T细胞[用于严重急性呼吸综合征冠状病毒(severe acute respiratory syndrome coronavirus, SARS-CoV)假病毒、SARS-CoV-2假病毒以及SARS-CoV-2各种突变株假病毒中和实验]和293T细胞[用于水泡性口炎病毒的融合性外壳G糖蛋白(vesicular stomatitis virus-Glycoprotein, VSV-G)的假病毒中和实验]以4×104cells/孔的密度接种于96孔细胞培养板,将Huh-7细胞[用于中东呼吸系统综合征冠状病毒(Middle East respiratory syndrome coronavirus, MERS-CoV)假病毒中和实验]以2×104cells/孔的密度接种于96孔细胞培养板。将抗体浓度调至8 μg/mL,2倍梯度稀释后分别与等体积的假病毒稀释液充分混匀,置于37 ℃温箱中孵育30 min。弃去细胞培养板中的培养液,每孔加入100 μL孵育后的混合液,每个浓度均设置3个复孔,置于37 ℃、CO2体积分数为5%的细胞培养箱中培养12 h后,更换为200 μL新鲜培养基继续培养48 h,然后使用萤火虫萤光素酶报告基因检测试剂盒进行检测。
1.2.4 SARS-CoV-2活病毒中和实验将靶细胞Vero E6以1×104 cells/孔的密度铺于96孔细胞培养板,将稀释过的抗体(4 μg/mL、2 μg/mL、1 μg/mL)分别加入SARS-CoV-2 Delta株病毒液[感染复数(multiplicity of infection,MOI)值为0.01],在37 ℃培养箱中孵育30 min。将孵育完成的抗体-病毒混合液加入靶细胞,每个浓度均设置3个复孔,37 ℃、CO2体积分数为5%的条件下培养48 h,吸取50 μL细胞上清液加入到150 μL TRIzol LS中灭活病毒,提取病毒RNA,使用一步法实时荧光定量PCR (quantitative real-time PCR, RT-qPCR)检测病毒含量,引物SARS-CoV-2-ORF1ab-F和SARS-CoV-2-ORF1ab-R的序列分别为5′-CCC~TGTGGGTTTTACACTTAA-3′和5′-ACGATTG~TGCATCAGCTGA-3′,探针的序列为5′-FAM-CCGTCTGCGGTATGTGGAAAGGTTATGG-BHQ1-3′[17]。
1.2.5 细胞-细胞融合实验SARS-CoV-2的S蛋白能介导表达S蛋白的细胞与表达ACE2的细胞发生融合[18]。参考Xia等[18]的研究,进行细胞-细胞融合实验,将HEK293T细胞按照5×106 cells/皿的密度接种于直径10 cm的细胞培养皿,置于37 ℃、CO2体积分数为5%的细胞培养箱中培养过夜。将pAAV-IRES-EGFP-SARS-CoV-2-S质粒40 μg转染至HEK293T后1~2 d,在显微镜下观察到绿色荧光蛋白(enhanced green fluorescent protein, EGFP)大量表达后用于细胞-细胞融合实验。将Huh7靶细胞按照5×104 cells/孔的密度接种于48孔细胞培养板中,置于37 ℃、CO2体积分数为5%的细胞培养箱中培养8~10 h备用。HEK293T/SARS-CoV-2-S/EGFP效应细胞使用胰酶进行消化后调整细胞至5×106 cells/mL,取100 μL细胞补足体积至150 μL加入靶细胞Huh7中,共孵育48 h后观察绿色荧光,并拍照记录细胞的融合情况。
1.2.6 细胞-细胞融合抑制试验将抗体进行梯度稀释后与HEK293T/SARS-CoV-2-S/EGFP效应细胞混合,并在37 ℃孵育2 h,孵育完成后,将抗体和效应细胞的混合液加入到靶细胞Huh7中,在37 ℃、CO2体积分数为5%的细胞培养箱中培养10 h后开始观察细胞融合情况,并于培养48 h后观察并拍照。
1.3 统计学分析采用GraphPad Prism 8进行图形绘制,曲线或柱状图数据以三孔重复值±标准差表示。
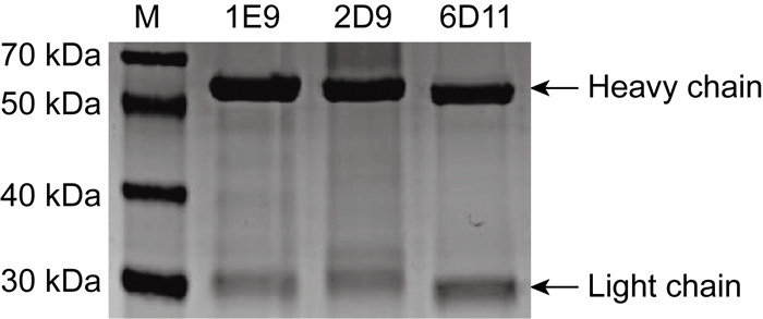
2 结果 2.1 成功获得3株人鼠嵌合抗体前期通过噬菌体抗体展示技术从免疫RBD蛋白的小鼠的抗体库中筛选获得了靶向SARS-CoV-2 RBD的小鼠抗体可变区基因,并通过基因重组技术将小鼠重链可变区基因和轻链可变区基因分别与人IgG重链恒定区和轻链恒定区相连,构建了人鼠嵌合抗体。本研究通过Expi293真核表达系统表达抗体,采用Protein A纯化后得到3株人鼠嵌合抗体,并将其命名为1E9、2D9和6D11,经SDS-PAGE验证后发现嵌合抗体条带正确(重链条带大小约55 kDa,轻链约25 kDa,重链∶轻链约为2∶1),且纯度良好,具体如图 1所示。
|
| M: pre-stained protein marker; 1E9、2D9 and 6D11: The chimeric antibodies that were expressed and purified. 图 1 SARS-CoV-2 RBD特异性人鼠嵌合抗体电泳检测 Fig. 1 Electrophoresis detection of SARS-CoV-2 RBD specific human-mouse chimeric antibodies |
为了检测这3株抗体对冠状病毒如SARS-CoV-2野生型、SARS-CoV、MERS-CoV假病毒的中和能力,本研究使用假病毒中和检测系统检测抗体的中和活性并使用VSV-G假病毒作为阴性对照。结果发现,1E9、2D9和6D11这3株抗体对SARS-CoV-2假病毒展现出了很好的中和活性,其半数抑制浓度(half maximal inhibitory concentration,IC50)分别为0.03 μg/mL、0.06 μg/mL和0.03 μg/mL(见图 2A~C),而对VSV-G、SARS-CoV和MERS-CoV假病毒没有表现出中和活性,该结果说明这些嵌合抗体对SARS-CoV-2假病毒的中和活性具有特异性。
|
| A-C: Neutralization activity of antibodies 1E9, 2D9 and 6D11 against SARS-CoV-2 wild-type pseudovirus (target cells: 293T/ACE2 cells), SARS-CoV pseudovirus (target cells: 293T/ACE2 cells) and MERS-CoV pseudovirus (target cells: Huh7 cells) were detected. VSV-G pseudovirus (target cells: HEK293T cells) was used as negative control. 图 2 人鼠嵌合抗体对冠状病毒假病毒的中和活性检测 Fig. 2 Neutralizing activity of human-mouse chimeric antibodies against pseudocoronavirus |
由于SARS-CoV-2处于不断变异中,RBD结构域中氨基酸的替换使得变异株病毒获得了抵抗某些抗体的能力,因此本研究也检测了这3株嵌合抗体对5株VOCs变异株以及1株VOI变异株假病毒的中和活性。实验结果显示,这3株嵌合抗体虽然对Beta、Gamma和Omicron株假病毒并未展示出中和活性,但是对Alpha、Delta和Lambda假病毒具有比较好的中和活性(见图 3A~C),其中对Delta假病毒的IC50分别达到0.04 μg/mL、0.01 μg/mL和0.70 μg/mL(具体见表 1)。这一结果提示,3株嵌合抗体对SARS-CoV-2假病毒的中和活性具有广谱性。
|
| A-C: Neutralization activity of antibodies 1E9, 2D9 and 6D11 against SARS-CoV-2 Alpha, Beta, Gamma, Delta, Lambda and Omicron pseudoviruses, respectively (target cells: 293T/ACE2 cells). 图 3 人鼠嵌合抗体对多种SARS-CoV-2变异株假病毒的中和活性检测 Fig. 3 Neutralizing activity of human-mouse chimeric antibodies against pseudoviruses of SARS-CoV-2 mutant strains |
| Chimeric antibodies | IC50 against SARS-CoV-2 pseudoviruses (μg/mL) | ||||||
| WT | B.1.1.7 (Alpha) | B.1.351 (Beta) | P.1 (Gamma) | B.1.617.2 (Delta) | C.37 (Lambda) | B.1.1.529 (Omicron) | |
| 1E9 | 0.03 | 0.14 | - | - | 0.04 | 0.86 | - |
| 2D9 | 0.06 | 0.84 | - | - | 0.01 | 0.51 | - |
| 6D11 | 0.03 | 2.48 | - | - | 0.70 | 3.79 | - |
| WT: wild type. | |||||||
上述研究发现1E9、2D9和6D11这3株抗体对Delta假病毒展示出比较好的中和活性,因此接下来检测这3株抗体对Delta株活病毒是否具有中和活性,结果发现3株抗体对Delta活病毒也展现出了相对较好的中和活性。虽然相对于Delta假病毒,嵌合抗体对活病毒的中和活性有所降低,但其在4 μg/mL的浓度下对Delta病毒的抑制率近100%,几乎可以完全抑制Delta活病毒的复制,具体结果如图 4所示。
|
| 图 4 人鼠嵌合抗体对活病毒SARS-CoV-2 B.1.617.2(Delta)的抑制作用 Fig. 4 Inhibited effect of human-mouse chimeric antibodies against SARS-CoV-2 B.1.617.2 (Delta) |
为初步明确嵌合抗体抑制病毒感染的机制,本研究检测了其对SARS-CoV-2的S蛋白介导的细胞-细胞融合现象的影响。使用表达SARS-CoV-2 S蛋白、EGFP蛋白的HEK293T细胞和表达人ACE2的Huh-7细胞进行细胞-细胞融合试验,结果发现:在作为阴性对照的PBS组中,2种细胞出现明显融合,而嵌合抗体则可以阻断细胞-细胞的融合,抗体浓度为2 μg/mL时即可完全抑制细胞间融合(见图 5)。这一结果提示3株抗体是通过阻断SARS-CoV-2的S蛋白与其受体ACE2的结合从而发挥抗病毒的中和作用。
|
| Cell-cell fusion mediated by SARS-CoV-2 S protein was inhibited by chimeric antibodies. The cells were observed and photographed under a microscope (10× objective) at 48 h after incubation. The red arrows indicate the fused cells. 图 5 嵌合抗体抑制SARS-CoV-2 S蛋白介导的细胞融合 Fig. 5 SARS-CoV-2 S protein mediated cell fusion inhibited by chimeric antibodies |
RBD结构域中存在着一些抗体结合的关键位点,比如K417、L452、E484和N501等,这些关键氨基酸的替换可导致病毒对中和抗体的逃逸。对中和实验结果进行分析后发现,Beta、Gamma和Omicron变异株假病毒对嵌合抗体表现出明显的逃逸现象(见图 3),而这些变异株的RBD结构域存在K417T/N、E484K/Q/A或N501Y突变,因而本文推测这些突变位点可能是抗体结合的关键位点。随后检测这3株抗体对含有K417N、E484K和N501Y突变位点的假病毒的中和活性。由于D614G突变对S蛋白结构具有一定的影响,本研究也检测了抗体能否中和含有D614G突变的假病毒。结果发现这3株抗体对D614G点突变的假病毒仍然具有较好的中和活性,但对含有K417N、E484K和N501Y突变的假病毒的中和活性明显降低,IC50值已经在检测线以下(见图 6),提示这3个突变位点可能是这几株抗体与SARS-CoV-2的RBD结合的关键位点。RBD结构域中其余位点对抗体与RBD结合的影响有待进一步研究。
|
| A-C: Neutralization activity of antibodies 1E9 (A), 2D9 (B) and 6D11 (C) against SARS-CoV-2 D614G, K417N/E484K, E484K/N501Y, K417N/N501Y, K417N/E484K/N501Y pseudoviruses, respectively (target cells: 293T/ACE2). 图 6 K417N、E484K、N501Y和D614G点突变对嵌合抗体功能的影响 Fig. 6 Effect of K417N, E484K, N501Y and D614G mutations on chimeric antibodies function |
目前,许多感染了SARS-CoV-2的患者表现为隐匿性感染,其在无症状感染的状态下仍能传播病毒[19],给疾病防控带来了极大的隐患。另一方面,由于SARS-CoV-2通过不断变异积累突变改变原有基因组,比如S蛋白中的S477N、E484K、Q677H、E484Q、L452R、K417T、K417N和N501Y等[5, 20],这些突变可调节病毒的传播性、毒力和抗体逃逸能力[21]。在这些突变点中,E484K/Q和L452R可通过逃避宿主免疫,导致现有疫苗诱导产生的抗体滴度或人体自然感染产生的抗体滴度降低,还可能使一些抗体药物的中和活性下降[22-25]。Delta变异株曾作为优势株在全世界传播,其RBD中引入了L452R突变,增强了病毒的传染性且降低了抗体的敏感性[23]。当具有K417N、E484A和N501Y突变的Omicron变异株逐渐成为优势株后,有研究报道Omicron能够逃逸超过85%的中和性抗体,抗体的中和效价大幅度降低[24]。
不断出现的SARS-CoV-2变异株对人民的生命健康造成了不可预见的危害[26],因而研发对多种变异株具有广谱中和作用的抗体对SARS-CoV-2感染的预防和治疗具有重要的价值。本研究首先成功表达并纯化了3株靶向SARS-CoV-2 RBD的人鼠嵌合抗体。通过多种病毒的假病毒中和实验,本研究发现这3株抗体对SARS-CoV-2具有特异性,并且这3株抗体对SARS-CoV-2野生型假病毒、Alpha、Delta、Lambda变异株假病毒具有广谱中和活性,同时还具有中和SARS-CoV-2 Delta变异株活病毒的能力。有研究报道某些抗体对假病毒和活病毒的中和活性存在差异[25, 27],这可能与假病毒和活病毒的检测体系不同有关,如用于扩增假病毒和活病毒的细胞、用于中和活性检测的靶细胞以及检测方式等方面的差异。Beta、Gamma和Omicron变异株假病毒能够逃逸这3株抗体的中和作用,可能是因为这些变异株中存在K417N/T、E484K和N501Y这3种能够增强免疫逃逸功能的突变位点[28-29]。Omicron变异株在RBD上不仅具有以上3种突变,其S蛋白中出现的其他大量突变可导致蛋白抗原性发生明显变化,使得现有已报道的大部分抗体对Omicron变异株的中和活性大幅降低或丧失[24, 30]。随后本研究对人鼠嵌合抗体发挥中和作用的机制进行了初步研究,发现嵌合抗体可以阻断SARS-CoV-2的S蛋白介导的细胞-细胞融合,说明其主要通过阻断S蛋白与其受体ACE2结合从而发挥抑制病毒感染的作用。既有研究表明,SARS-CoV-2突变株中的一些位点的突变可能导致该突变株对某些抗体类药物产生耐药性,比如位于RBD内部的突变K417N、E484K和N501Y,以及位于RBD之外的突变D614G等[31-32]。在本研究中,D614G突变位点对3株嵌合抗体的中和活性影响不大,这可能与此3株抗体的靶点位于RBD有关。而本研究中的嵌合抗体对含有K417N、E484K和N501Y突变位点的假病毒的中和活性都明显减弱,提示K417、E484和N501位点可能是这3株抗体的关键结合位点,但RBD上是否存在影响其与抗体结合的其他关键位点仍须进一步研究。
综上所述,本研究表达并纯化了3株可以中和多种SARS-CoV-2假病毒和Delta株活病毒的广谱人鼠嵌合抗体。由于SARS-CoV-2变异较快,在获得这些抗体后,Omicron变异株开始出现并流行,其能逃逸大部分中和抗体。后续研究可以使用噬菌体抗体库进行进一步筛选,以期得到可以中和包括Omicron在内的更多变异株的抗体,为SARS-CoV-2感染的预防和治疗提供依据。
致谢
我们衷心感谢复旦大学生物安全三级实验室成员对该项研究工作的支持和技术指导。
| [1] |
Zhou P, Yang XL, Wang XG, Hu B, Zhang L, Zhang W, Si HR, Zhu Y, Li B, Huang CL, Chen HD, Chen J, Luo Y, Guo H, Jiang RD, Liu MQ, Chen Y, Shen XR, Wang X, Zheng XS, Zhao K, Chen QJ, Deng F, Liu LL, Yan B, Zhan FX, Wang YY, Xiao GF, Shi ZL. A pneumonia outbreak associated with a new coronavirus of probable bat origin[J]. Nature, 2020, 579(7798): 270-273.
[DOI]
|
| [2] |
Wrapp D, Wang N, Corbett KS, Goldsmith JA, Hsieh CL, Abiona O, Graham BS, Mclellan JS. Cryo-EM structure of the 2019-nCoV spike in the prefusion conformation[J]. Science, 2020, 367(6483): 1260-1263.
[DOI]
|
| [3] |
Walls AC, Park YJ, Tortorici MA, Wall A, Mcguire AT, Veesler D. Structure, function, and antigenicity of the SARS-CoV-2 spike glycoprotein[J]. Cell, 2020, 181(2): 281-292.
[DOI]
|
| [4] |
Jiang S, Hillyer C, Du L. Neutralizing antibodies against SARS-CoV-2 and other human coronaviruses[J]. Trends Immunol, 2020, 41(5): 355-359.
[DOI]
|
| [5] |
Mlcochova P, Kemp SA, Dhar MS, Papa G, Meng B, Ferreira I, Datir R, Collier DA, Albecka A, Singh S, Pandey R, Brown J, Zhou J, Goonawardane N, Mishra S, Whittaker C, Mellan T, Marwal R, Datta M, Sengupta S, Ponnusamy K, Radhakrishnan VS, Abdullahi A, Charles O, Chattopadhyay P, Devi P, Caputo D, Peacock T, Wattal C, Goel N, Satwik A, Vaishya R, Agarwal M, Indian S-C-GC, Genotype to Phenotype Japan C, Collaboration C-NBC-, Mavousian A, Lee JH, Bassi J, Silacci-Fegni C, Saliba C, Pinto D, Irie T, Yoshida I, Hamilton WL, Sato K, Bhatt S, Flaxman S, James LC, Corti D, Piccoli L, Barclay WS, Rakshit P, Agrawal A, Gupta RK. SARS-CoV-2 B.1.617.2 Delta variant replication and immune evasion[J]. Nature, 2021, 599(7883): 114-119.
[DOI]
|
| [6] |
Karim SSA, Karim QA. Omicron SARS-CoV-2 variant: a new chapter in the COVID-19 pandemic[J]. Lancet, 2021, 398(10317): 2126-2128.
[DOI]
|
| [7] |
Gobeil SM, Janowska K, Mcdowell S, Mansouri K, Parks R, Stalls V, Kopp MF, Manne K, Li D, Wiehe K, Saunders KO, Edwards RJ, Korber B, Haynes BF, Henderson R, Acharya P. Effect of natural mutations of SARS-CoV-2 on spike structure, conformation, and antigenicity[J]. Science, 2021, 373(6555): eabi6226.
[DOI]
|
| [8] |
Abdool Karim SS, De Oliveira T. New SARS-CoV-2 variants-clinical, public health, and vaccine implications[J]. N Engl J Med, 2021, 384(19): 1866-1868.
[DOI]
|
| [9] |
Cherian S, Potdar V, Jadhav S, Yadav P, Gupta N, Das M, Rakshit P, Singh S, Abraham P, Panda S, Team N. SARS-CoV-2 spike mutations, L452R, T478K, E484Q and P681R, in the second wave of COVID-19 in Maharashtra, India[J]. Microorganisms, 2021, 9(7): 1542.
[DOI]
|
| [10] |
Dimonte S, Babakir-Mina M, Hama-Soor T, Ali S. Genetic variation and evolution of the 2019 novel coronavirus[J]. Public Health Genomics, 2021, 24(1-2): 54-66.
[DOI]
|
| [11] |
Renn A, Fu Y, Hu X, Hall MD, Simeonov A. Fruitful neutralizing antibody pipeline brings hope to defeat SARS-Cov-2[J]. Trends Pharmacol Sci, 2020, 41(11): 815-829.
[DOI]
|
| [12] |
Cao Y, Su B, Guo X, Sun W, Deng Y, Bao L, Zhu Q, Zhang X, Zheng Y, Geng C, Chai X, He R, Li X, Lv Q, Zhu H, Deng W, Xu Y, Wang Y, Qiao L, Tan Y, Song L, Wang G, Du X, Gao N, Liu J, Xiao J, Su XD, Du Z, Feng Y, Qin C, Qin C, Jin R, Xie XS. Potent neutralizing antibodies against SARS-CoV-2 identified by high-throughput single-cell sequencing of convalescent patients' B Cells[J]. Cell, 2020, 182(1): 73-84.
[DOI]
|
| [13] |
Zhou D, Chan JF, Zhou B, Zhou R, Li S, Shan S, Liu L, Zhang AJ, Chen SJ, Chan CC, Xu H, Poon VK, Yuan S, Li C, Chik KK, Chan CC, Cao J, Chan CY, Kwan KY, Du Z, Lau TT, Zhang Q, Zhou J, To KK, Zhang L, Ho DD, Yuen KY, Chen Z. Robust SARS-CoV-2 infection in nasal turbinates after treatment with systemic neutralizing antibodies[J]. Cell Host Microbe, 2021, 29(4): 551-563.
[DOI]
|
| [14] |
Li L, Gao M, Li J, Zu S, Wang Y, Chen C, Wan D, Duan J, Aliyari R, Wang J, Zhang J, Jin Y, Huang W, Jin X, Shi M, Wang Y, Qin CF, Yang H, Cheng G. Methods to identify immunogenic peptides in SARS-CoV-2 spike and protective monoclonal antibodies in COVID-19 patients[J]. Small Methods, 2021, 5(7): 2100058.
[DOI]
|
| [15] |
曹妙, 陆路, 姜世勃. 广谱抗冠状病毒疫苗及抗冠状病毒多肽的研究进展[J]. 微生物与感染, 2021, 16(4): 270-279. [DOI]
|
| [16] |
Hu D, Zhu Z, Li S, Deng Y, Wu Y, Zhang N, Puri V, Wang C, Zou P, Lei C, Tian X, Wang Y, Zhao Q, Li W, Prabakaran P, Feng Y, Cardosa J, Qin C, Zhou X, Dimitrov DS, Ying T. A broadly neutralizing germline-like human monoclonal antibody against dengue virus envelope domain Ⅲ[J]. PLoS Pathog, 2019, 15(6): e1007836.
[DOI]
|
| [17] |
Liu Z, Xu W, Xia S, Gu C, Wang X, Wang Q, Zhou J, Wu Y, Cai X, Qu D, Ying T, Xie Y, Lu L, Yuan Z, Jiang S. RBD-Fc-based COVID-19 vaccine candidate induces highly potent SARS-CoV-2 neutralizing antibody response[J]. Signal Transduct Target Ther, 2020, 5(1): 282.
[DOI]
|
| [18] |
Xia S, Zhu Y, Liu M, Lan Q, Xu W, Wu Y, Ying T, Liu S, Shi Z, Jiang S, Lu L. Fusion mechanism of 2019-nCoV and fusion inhibitors targeting HR1 domain in spike protein[J]. Cell Mol Immunol, 2020, 17(7): 765-767.
[DOI]
|
| [19] |
Oran DP, Topol EJ. Prevalence of asymptomatic SARS-CoV-2 infection: a narrative review[J]. Ann Intern Med, 2020, 173(5): 362-367.
[DOI]
|
| [20] |
Wang P, Nair MS, Liu L, Iketani S, Luo Y, Guo Y, Wang M, Yu J, Zhang B, Kwong PD, Graham BS, Mascola JR, Chang JY, Yin MT, Sobieszczyk M, Kyratsous CA, Shapiro L, Sheng Z, Huang Y, Ho DD. Antibody resistance of SARS-CoV-2 variants B.1.351 and B.1.1.7[J]. Nature, 2021, 593(7857): 130-135.
[DOI]
|
| [21] |
Bushman M, Kahn R, Taylor BP, Lipsitch M, Hanage WP. Population impact of SARS-CoV-2 variants with enhanced transmissibility and/or partial immune escape[J]. Cell, 2021, 184(26): 6229-6242.
[DOI]
|
| [22] |
Voloch CM, da Silva Francisco R Jr, de Almeida LGP, Cardoso CC, Brustolini OJ, Gerber AL, Guimarães APC, Mariani D, da Costa RM, Ferreira OC Jr, Covid19-UFRJ Workgroup, LNCC Workgroup, Adriana Cony Cavalcanti, Frauches TS, de Mello CMB, Leitão IC, Galliez RM, Faffe DS, Castiñeiras TMPP, Tanuri A, de Vasconcelos ATR. Genomic characterization of a novel SARS-CoV-2 lineage from Rio de Janeiro, Brazil[J]. J Virol, 2021, 95(10): e00119-21.
[DOI]
|
| [23] |
Allen H, Vusirikala A, Flannagan J, Twohig KA, Zaidi A, Chudasama D, Lamagni T, Groves N, Turner C, Rawlinson C, Lopez-Bernal J, Harris R, Charlett A, Dabrera G, Kall M; COVID-19 Genomics UK (COG-UK Consortium). Household transmission of COVID-19 cases associated with SARS-CoV-2 delta variant (B.1.617.2): national case-control study[J]. Lancet Reg Health Eur, 2022, 12: 100252.
[DOI]
|
| [24] |
Cao Y, Wang J, Jian F, Xiao T, Song W, Yisimayi A, Huang W, Li Q, Wang P, An R, Wang J, Wang Y, Niu X, Yang S, Liang H, Sun H, Li T, Yu Y, Cui Q, Liu S, Yang X, Du S, Zhang Z, Hao X, Shao F, Jin R, Wang X, Xiao J, Wang Y, Xie XS. Omicron escapes the majority of existing SARS-CoV-2 neutralizing antibodies[J]. Nature, 2022, 602(7898): 657-663.
[DOI]
|
| [25] |
Wan J, Xing S, Ding L, Wang Y, Gu C, Wu Y, Rong B, Li C, Wang S, Chen K, He C, Zhu D, Yuan S, Qiu C, Zhao C, Nie L, Gao Z, Jiao J, Zhang X, Wang X, Ying T, Wang H, Xie Y, Lu Y, Xu J, Lan F. Human-IgG-neutralizing monoclonal antibodies block the SARS-CoV-2 infection[J]. Cell Rep, 2020, 32(3): 107918.
[DOI]
|
| [26] |
瞿涤, 张文宏. 防范应对风险, 期待正常生活回归[J]. 微生物与感染, 2022, 17(1): 1. [URI]
|
| [27] |
Chi X, Yan R, Zhang J, Zhang G, Zhang Y, Hao M, Zhang Z, Fan P, Dong Y, Yang Y, Chen Z, Guo Y, Zhang J, Li Y, Song X, Chen Y, Xia L, Fu L, Hou L, Xu J, Yu C, Li J, Zhou Q, Chen W. A neutralizing human antibody binds to the N-terminal domain of the Spike protein of SARS-CoV-2[J]. Science, 2020, 369(6504): 650-655.
[DOI]
|
| [28] |
Greaney AJ, Starr TN, Barnes CO, Weisblum Y, Schmidt F, Caskey M, Gaebler C, Cho A, Agudelo M, Finkin S, Wang Z, Poston D, Muecksch F, Hatziioannou T, Bieniasz PD, Robbiani DF, Nussenzweig MC, Bjorkman PJ, Bloom JD. Mapping mutations to the SARS-CoV-2 RBD that escape binding by different classes of antibodies[J]. Nat Commun, 2021, 12(1): 4196.
[DOI]
|
| [29] |
Cho H, Gonzales-Wartz KK, Huang D, Yuan M, Peterson M, Liang J, Beutler N, Torres JL, Cong Y, Postnikova E, Bangaru S, Talana CA, Shi W, Yang ES, Zhang Y, Leung K, Wang L, Peng L, Skinner J, Li S, Wu NC, Liu H, Dacon C, Moyer T, Cohen M, Zhao M, Lee FE, Weinberg RS, Douagi I, Gross R, Schmaljohn C, Pegu A, Mascola JR, Holbrook M, Nemazee D, Rogers TF, Ward AB, Wilson IA, Crompton PD, Tan J. Bispecific antibodies targeting distinct regions of the spike protein potently neutralize SARS-CoV-2 variants of concern[J]. Sci Transl Med, 2021, 13(616): eabj5413.
[DOI]
|
| [30] |
Zhang L, Li Q, Liang Z, Li T, Liu S, Cui Q, Nie J, Wu Q, Qu X, Huang W, Wang Y. The significant immune escape of pseudotyped SARS-CoV-2 variant Omicron[J]. Emerg Microbes Infect, 2022, 11(1): 1-5.
[DOI]
|
| [31] |
Kimura I, Kosugi Y, Wu J, Zahradnik J, Yamasoba D, Butlertanaka EP, Tanaka YL, Uriu K, Liu Y, Morizako N, Shirakawa K, Kazuma Y, Nomura R, Horisawa Y, Tokunaga K, Ueno T, Takaori-Kondo A, Schreiber G, Arase H, Genotype to Phenotype Japan (G2P-Japan) Consortium, Motozono C, Saito A, Nakagawa S, Sato K. The SARS-CoV-2 Lambda variant exhibits enhanced infectivity and immune resistance[J]. Cell Rep, 2022, 38(2): 110218.
[DOI]
|
| [32] |
Shen X, Tang H, Mcdanal C, Wagh K, Fischer W, Theiler J, Yoon H, Li D, Haynes BF, Sanders KO, Gnanakaran S, Hengartner N, Pajon R, Smith G, Glenn GM, Korber B, Montefiori DC. SARS-CoV-2 variant B.1.1.7 is susceptible to neutralizing antibodies elicited by ancestral spike vaccines[J]. Cell Host Microbe, 2021, 29(4): 529-539.
[DOI]
|
2023, Vol. 18


